Cliquez sur les images pour les grossir
Cas n° 1
Patiente âgée de 10 ans 4 mois, présentant une classe II.2 en denture mixte avec absence de place pour 13.23 en cours d’évolution. Afin d’éviter au maximum l’évolution vestibulaire des 13.23, une thérapeutique de correction de la classe II en denture mixte est mise en place.
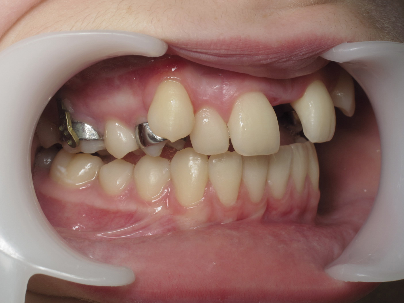
Au maxillaire, les 16.26 sont baguées, les 14.24 collées. Un Optimax Distaler est installé de chaque côté sur ces supports orthodontiques.
A la mandibule, un arc lingual est mis en place pour permettre l’ancrage des tractions élastiques permettant la correction de la classe II.
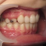
A 2 mois, la thérapeutique associant Optimax Distaler et TIM II fonctionne, la classe II se corrige.
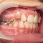
A 6 mois, la classe I est obtenue, les 13.23 se mettent en place.
Il faut cependant noter une vestibulo-version des incisives mandibulaires due à une perte d’ancrage mandibulaire. L’ancrage naturel ainsi que l’ancrage par arc lingual n’étaient pas suffisants.
Cas clinique n°2
Patiente âgée de 14 ans 3 mois, présentant une classe II.2 avec endognatie maxillaire sévère et absence de place pour l’évolution des 13.23. Il n’y a pas d’encombrement mandibulaire.
La prise en charge du sens transversal se fait par distraction chirurgical. Pendant la phase chirurgicale, des plaques TEB (Systéme Ancotek, Tekka) sont placées dans les secteurs 10 et 20 en regards des 16.26.
A 6 mois après distraction, les secteurs latéraux maxillaires de 4 à 7 sont équipés (Bagues avec FEO sur 16.26 + arc transpalatin, collage des 17.27 + 14.24 et mise en place des Optimax Distaler). Des modules de tractions reliant les potences façonnées sur les Optimax Distaler aux plaques d’ancrage permettent d’assurer le recul des secteurs 10 et 20. Le système mécanique est cohérent et ne sollicite pas l’ancrage mandibulaire.
A 8 mois, la classe I bilatérale est obtenue, les canines se sont spontanément mises en place.
Un multiattache complet se substitue alors aux Optimax Distaler.
Permettant les finitions fines sans recours à un multibague mandibulaire ni à la sollicitation de l’ancrage mandibulaire





























